La recherche fondamentale vise à mieux comprendre le corps humain et ses maladies
L’objectif est de comprendre comment le gène provoque des tumeurs : VHL France participe au financement de cette recherche à l’Institut Gustave Roussy.

Présentation des travaux de recherche de l’équipe de l’IGR
Par Sophie COUVE Résumé de l’intervention réalisée lors de l’Assemblée Générale VHL France 2024 Le génotype représente l’ensemble des gènes d’un individu, constituant son patrimoine génétique hérité de ses parents. Le phénotype est l’expression observable de ces gènes. Les gènes…
Où en est la recherche mondiale?
Revue de presse des recherches récentes – juillet 2020 Des chercheurs, au Japon, ont publié un article qui examine un nouveau mécanisme de développement des hémangioblatomes. Un autre article décrit l’implication de deux voies-clés liées au cancer (RGFR et TGFa)…

Prix Nobel 2019 : La communauté VHL à l’honneur!
Prix Nobel de Physiologie et Médecine 2019 Communiqué du Professeur Stéphane RICHARD – Centre de référence PREDIR Le Prix Nobel de Physiologie et de Médecine a été attribué le 7 octobre 2019à William KAELIN (USA), Peter RATCLIFFE (GB) et Greg…

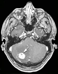
Projet de recherche sur les hémangioblastomes
Point de Caroline PIROU – Institut Gustave Roussy à Villejuif lors de L’AG VHL France du 19.02.2019 L’hémangioblastome (HB) est une tumeur méconnue, dont l’élucidation des origines et des mécanismes nous échappe encore puisqu’il n’existe pas de modèle animal de la maladie…

Découvertes sur le gène VHL
Découvertes sur le gène VHL Betty GARDIE – Maître de Conférence de l’Ecole Pratique des Hautes Etudes Betty Gardie a été lauréate du prix Jacqueline et Robert Zittoun pour ses recherches sur les mutations VHL responsables de polyglobulies. Lors de…
Projet de recherches sur les hémangioblastomes à l’Institut Gustave Roussy (IGR)
Voici une vidéo de présentation du projet de recherches initié en 2016 par le laboratoire de recherche du Professeur Stéphane Richard de l’IGR



